Wielu moich pacjentów, zaniepokojonych zmianami w wyglądzie swojego uśmiechu, zadaje mi fundamentalne pytanie: "Czy dziąsła odrastają?". To naturalne, że szukamy nadziei na samoistną regenerację, zwłaszcza gdy zauważamy, że nasze zęby wydają się dłuższe, a dziąsła cofają się. Niestety, odpowiedź na to pytanie nie jest tak prosta, jak byśmy sobie tego życzyli. W tym artykule, jako Juliusz Czarnecki, wyjaśnię, dlaczego utracona tkanka dziąsłowa nie odrasta samoistnie, co jest przyczyną recesji dziąseł, jakie są jej objawy, a przede wszystkim jakie skuteczne metody leczenia i profilaktyki oferuje współczesna stomatologia, aby pomóc zachować zdrowy i estetyczny uśmiech na lata.
Utracone dziąsła nie odrastają samoistnie ale można je leczyć i zapobiegać recesji
- Tkanka dziąsłowa, która uległa zanikowi w procesie recesji, nie odrasta samoistnie bez interwencji specjalistycznej.
- Recesja dziąseł to proces odsłaniania szyjek i korzeni zębów, często wynikający z niewłaściwej higieny lub genetyki.
- Główne przyczyny to zbyt mocne szczotkowanie, płytka bakteryjna i kamień, bruksizm, wady zgryzu oraz uwarunkowania genetyczne.
- Objawy obejmują optyczne wydłużenie zębów, nadwrażliwość na bodźce termiczne i krwawienie dziąseł.
- Leczenie może być zachowawcze (higienizacja) lub chirurgiczne (przeszczepy dziąsła, biomateriały).
- Kluczem do zdrowych dziąseł jest profilaktyka: prawidłowa higiena jamy ustnej i regularne wizyty u stomatologa.
Czy dziąsła odrastają? Prawda o regeneracji i skuteczne rozwiązania
Krótka odpowiedź na palące pytanie: czy utracone dziąsło może się zregenerować?
Przejdźmy od razu do sedna: tkanka dziąsłowa, która uległa zanikowi w procesie recesji, nie odrasta samoistnie. Niestety, raz utracone dziąsło nie ma zdolności do spontanicznej regeneracji w takim stopniu, aby pokryć odsłonięte powierzchnie korzeni zębów. Proces ten jest nieodwracalny bez interwencji specjalistycznej. To kluczowa informacja, którą zawsze przekazuję moim pacjentom, aby rozwiać wszelkie złudzenia i skupić się na realnych możliwościach leczenia.
Recesja dziąseł cichy problem, który widać gołym okiem
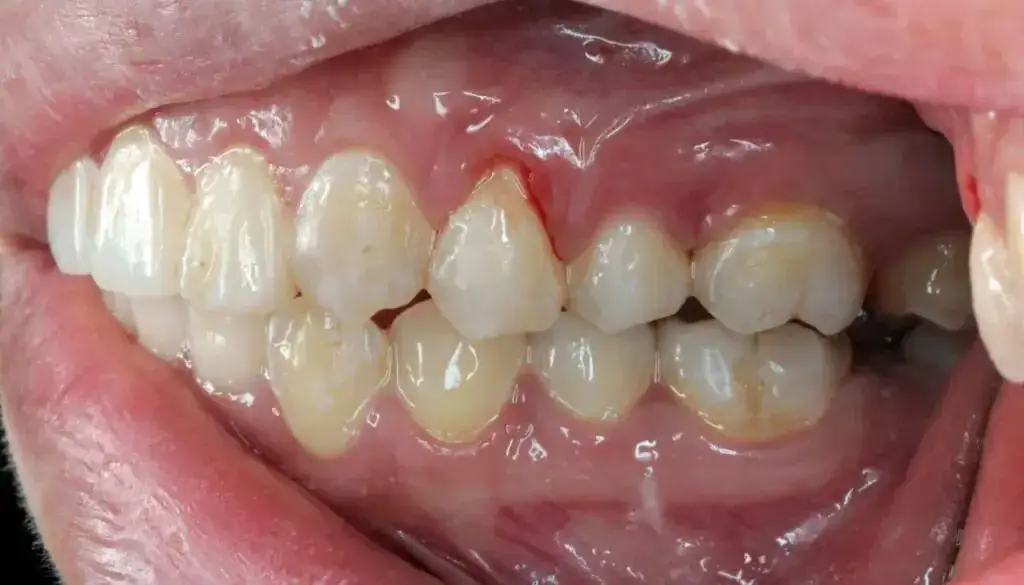
Skoro dziąsła nie odrastają, warto zrozumieć, czym dokładnie jest recesja dziąsłowa. Jest to proces utraty dziąsła, polegający na odsłonięciu szyjek i korzeni zębów na skutek przemieszczenia się brzegu dziąsła w kierunku wierzchołka korzenia. Z punktu widzenia pacjenta, zęby wydają się optycznie dłuższe, a w przestrzeniach międzyzębowych mogą pojawić się charakterystyczne "czarne trójkąty". To nie tylko problem estetyczny, który często bywa powodem wizyty w gabinecie, ale przede wszystkim poważny problem zdrowotny, prowadzący do nadwrażliwości, a w skrajnych przypadkach nawet do utraty zęba. W swojej praktyce widziałem wiele takich przypadków i zawsze staram się edukować pacjentów na temat konsekwencji ignorowania tego stanu.

Dlaczego dziąsła się cofają? Poznaj najczęstszych winowajców
Zrozumienie przyczyn recesji dziąseł jest absolutnie kluczowe, zarówno dla zapobiegania, jak i skutecznego leczenia. Kiedy wiemy, co wywołuje problem, możemy podjąć świadome kroki, aby go zatrzymać lub zminimalizować jego skutki. Przyjrzyjmy się najczęstszym winowajcom.
Zbyt mocne szczotkowanie kiedy dobra intencja przynosi szkodę
Paradoksalnie, jednym z najczęstszych powodów cofania się dziąseł jest... zbyt intensywna higiena. Wielu moich pacjentów, chcąc jak najlepiej dbać o zęby, szczotkuje je z nadmierną siłą, używając twardych szczoteczek. To prowadzi do mechanicznego urazu dziąseł, które stopniowo ulegają ścieraniu i cofaniu się. Wyobraźmy sobie, że codziennie szorujemy delikatną tkankę. Efekt jest niestety przewidywalny. Zawsze podkreślam, że delikatność i prawidłowa technika są ważniejsze niż siła.
Niewidzialny wróg: jak płytka bakteryjna i kamień niszczą przyczep dziąsłowy
Płytka bakteryjna i kamień nazębny to cisi zabójcy zdrowia dziąseł. Jeśli nie są regularnie usuwane, prowadzą do przewlekłych stanów zapalnych, znanych jako zapalenie dziąseł, a następnie do poważniejszych chorób przyzębia, czyli paradontozy. W przebiegu tych schorzeń, bakterie produkują toksyny, które niszczą tkanki wspierające ząb, w tym kość i przyczep dziąsłowy. W efekcie dziąsła nie tylko krwawią i bolą, ale także stopniowo się cofają, odsłaniając korzenie. To klasyczny scenariusz, który obserwuję w wielu przypadkach.Genetyka i "cienki biotyp" czy jesteś w grupie podwyższonego ryzyka?
Niestety, niektórzy z nas mają genetyczne predyspozycje do recesji dziąseł. Mówimy wtedy o tzw. cienkim biotypie dziąsła, czyli sytuacji, gdy dziąsła są naturalnie cienkie i delikatne. Takie dziąsła są znacznie bardziej podatne na urazy mechaniczne i stany zapalne, a co za tym idzie, łatwiej ulegają recesji. W mojej praktyce często widzę całe rodziny, w których problem recesji występuje u wielu członków, co potwierdza rolę czynników genetycznych. W takich przypadkach profilaktyka i wczesna interwencja są szczególnie ważne.
Bruksizm i wady zgryzu mechaniczne przyczyny utraty dziąseł
Nadmierne obciążenia mechaniczne, wynikające z bruksizmu (nieświadomego zgrzytania i zaciskania zębów) lub nieprawidłowego zgryzu, również mogą prowadzić do cofania się dziąseł. Kiedy zęby są poddawane ciągłym, nieprawidłowym siłom, dochodzi do przeciążenia tkanek okołozębowych. Dziąsła, próbując chronić ząb, mogą się cofać, a nawet dochodzi do uszkodzenia kości. Leczenie bruksizmu, często za pomocą specjalnych szyn relaksacyjnych, jest w takich sytuacjach niezbędne do zatrzymania postępu recesji.
Inne czynniki: palenie tytoniu i zmiany hormonalne
Nie możemy zapomnieć o innych czynnikach ryzyka. Palenie tytoniu jest jednym z nich nikotyna i inne substancje zawarte w dymie papierosowym negatywnie wpływają na ukrwienie dziąseł, osłabiają ich odporność i utrudniają procesy gojenia. Palacze są znacznie bardziej narażeni na choroby przyzębia i recesje. Chociaż w mniejszym stopniu, zmiany hormonalne, na przykład w okresie ciąży czy menopauzy, również mogą wpływać na kondycję dziąseł, czyniąc je bardziej wrażliwymi na stany zapalne i recesję.Pierwsze sygnały alarmowe jak rozpoznać, że dziąsła zaczynają się cofać?
Wczesne rozpoznanie objawów recesji dziąseł jest kluczowe dla skutecznego leczenia i zatrzymania postępu choroby. Im szybciej zareagujemy, tym lepsze mamy szanse na minimalizację szkód. Zwracaj uwagę na te sygnały.
Zęby, które "rosną" o wizualnym efekcie wydłużenia korony zęba
Jednym z najbardziej oczywistych i często zauważanych przez pacjentów objawów jest optyczne wydłużenie zębów. Gdy dziąsła się cofają, odsłaniają część korzenia zęba, która normalnie jest ukryta. Zęby wydają się wtedy dłuższe, niż były wcześniej, a ich proporcje ulegają zmianie. To pierwszy sygnał estetyczny, który powinien wzbudzić Twoją czujność.
Bolesna nadwrażliwość dlaczego zimne i gorące napoje stają się problemem?
Odsłonięte szyjki zębowe i korzenie nie są pokryte szkliwem, lecz cementem korzeniowym, który jest znacznie mniej odporny i zawiera kanaliki zębinowe prowadzące do miazgi. Kiedy te kanaliki zostają odsłonięte, zęby stają się nadwrażliwe na bodźce termiczne (zimne i gorące napoje, lody), smakowe (słodkie, kwaśne) oraz mechaniczne (dotyk szczoteczki). Ten ból jest często ostry i krótkotrwały, ale potrafi skutecznie uprzykrzyć codzienne funkcjonowanie.
Krwawienie, zaczerwienienie i ból objawy, których nie wolno ignorować
Recesja dziąseł często idzie w parze ze stanem zapalnym. Dlatego nie wolno ignorować takich objawów jak krwawienie podczas szczotkowania, zaczerwienienie i obrzęk dziąseł, a także ból lub dyskomfort w ich okolicy. Te sygnały wskazują na aktywny proces zapalny, który przyspiesza utratę tkanek przyzębia i pogłębia recesję. W mojej praktyce zawsze uczulam pacjentów, że krwawienie z dziąseł to nie norma, a sygnał do działania.
Stop recesji! Jak zatrzymać proces cofania się dziąseł?
Choć dziąsła nie odrastają samoistnie, dobra wiadomość jest taka, że możemy skutecznie zatrzymać postęp recesji, a w wielu przypadkach nawet odbudować utracone tkanki. Kluczem jest połączenie profesjonalnej opieki stomatologicznej z odpowiednią higieną domową i zmianą nawyków. Jako Juliusz Czarnecki, zawsze podkreślam, że to wspólny wysiłek pacjenta i lekarza.
Fundament zdrowia: profesjonalna higienizacja w gabinecie stomatologicznym
Podstawą w walce z recesją, zwłaszcza tą spowodowaną stanem zapalnym, jest regularna profesjonalna higienizacja. Obejmuje ona skaling (usunięcie kamienia nazębnego), piaskowanie (usunięcie osadów i przebarwień) oraz, w bardziej zaawansowanych przypadkach, kiretaż (głębokie czyszczenie kieszonek dziąsłowych). Te zabiegi usuwają płytkę bakteryjną i kamień, które są głównymi czynnikami zapalnymi, pozwalając dziąsłom na wygojenie i zatrzymanie dalszego cofania się. Bez nich, żadne inne leczenie nie będzie w pełni skuteczne.
Zmień nawyki, nie cel klucz do sukcesu w codziennej pielęgnacji
Jeśli recesja jest wynikiem niewłaściwej techniki szczotkowania, konieczna jest zmiana nawyków higienicznych. Należy zrezygnować z twardych szczoteczek na rzecz miękkich lub ultra-miękkich, a także opanować prawidłową technikę mycia zębów (np. ruchy wymiatające, a nie szorujące). Często wystarczy kilkuminutowy instruktaż w gabinecie, aby pacjent zrozumiał, jak delikatnie i skutecznie dbać o swoje dziąsła. To małe zmiany, które przynoszą ogromne korzyści w dłuższej perspektywie.
Rola stylu życia w walce o zdrowe dziąsła
Nie możemy również zapominać o wpływie stylu życia. Eliminacja palenia tytoniu jest jednym z najważniejszych kroków, jakie pacjent może podjąć dla zdrowia swoich dziąseł. Ponadto, jeśli przyczyną recesji jest bruksizm, konieczne jest jego leczenie, najczęściej za pomocą indywidualnie dopasowanej szyny relaksacyjnej, noszonej w nocy. Szyna chroni zęby i dziąsła przed nadmiernymi siłami, co pozwala zatrzymać postęp recesji i zapobiec dalszym uszkodzeniom.
Odbudowa dziąseł jest możliwa przegląd nowoczesnych metod leczenia
Skoro wiemy, że dziąsła nie odrastają samoistnie, ale proces recesji można zatrzymać, naturalnie pojawia się pytanie: czy można je odbudować? Odpowiedź brzmi: tak! Współczesna stomatologia, a w szczególności periodontologia i mikrochirurgia, oferuje skuteczne metody chirurgicznej odbudowy utraconych dziąseł. W mojej praktyce często wykorzystuję te techniki, aby przywrócić pacjentom zarówno zdrowie, jak i estetykę uśmiechu.
Kiedy recesja jest niewielka: leczenie zachowawcze i kiretaż
W początkowych stadiach recesji, gdy odsłonięcie korzenia jest niewielkie i nie towarzyszy mu duży stan zapalny, często wystarcza leczenie zachowawcze. Obejmuje ono wspomnianą już profesjonalną higienizację, w tym root planing (wygładzanie powierzchni korzenia) i kiretaż. Celem jest usunięcie wszelkich czynników zapalnych i biofilmu bakteryjnego z powierzchni korzenia, co pozwala dziąsłom na lepsze przyleganie i zatrzymanie dalszego cofania się. W takich przypadkach często udaje się ustabilizować sytuację bez konieczności interwencji chirurgicznej.
Złoty standard w leczeniu: na czym polega chirurgiczne pokrycie recesji?
Gdy recesja jest bardziej zaawansowana, a leczenie zachowawcze nie wystarcza, sięgamy po metody chirurgiczne. Chirurgiczne pokrycie recesji to obecnie złoty standard w odbudowie utraconych dziąseł. Polega ono na pokryciu odsłoniętej powierzchni korzenia zęba nową tkanką dziąsłową. Efekty estetyczne i funkcjonalne są często spektakularne, a pacjenci odzyskują komfort i pewność siebie. To zabieg, który wymaga precyzji i doświadczenia, dlatego zawsze dokładnie omawiam go z pacjentem.
Przeszczep dziąsła z podniebienia krok po kroku
Najczęściej stosowaną i najbardziej przewidywalną techniką chirurgiczną jest przeszczep tkanki łącznej. Oto, jak zazwyczaj wygląda ten zabieg:
- Pobranie tkanki: W pierwszej kolejności, z podniebienia pacjenta (lub rzadziej z innej okolicy w jamie ustnej) pobierany jest niewielki fragment tkanki łącznej to tzw. przeszczep. Podniebienie jest miejscem, gdzie dziąsło jest grube i dobrze ukrwione, co sprzyja pobraniu materiału.
- Przygotowanie miejsca recesji: Następnie, w obszarze recesji, delikatnie przygotowuje się miejsce na przyjęcie przeszczepu. Odsłonięty korzeń jest dokładnie oczyszczany i wygładzany, a dziąsło wokół recesji jest delikatnie mobilizowane.
- Umieszczenie przeszczepu: Pobrany przeszczep tkanki łącznej jest precyzyjnie umieszczany pod dziąsłem w miejscu recesji i stabilizowany za pomocą bardzo cienkich szwów.
- Zabezpieczenie i gojenie: Po zabiegu, miejsce pobrania tkanki na podniebieniu oraz obszar recesji są odpowiednio zabezpieczane. Proces gojenia trwa zazwyczaj kilka tygodni, a pełna integracja przeszczepu z otaczającymi tkankami zajmuje kilka miesięcy.
Alternatywne metody: biomateriały i sterowana regeneracja tkanek
Oprócz przeszczepów autogennych (z własnej tkanki pacjenta), w niektórych przypadkach stosuje się również biomateriały, takie jak błony kolagenowe lub substytuty kości, które wspomagają sterowaną regenerację tkanek. Metody te są często mniej inwazyjne, ale ich zastosowanie zależy od konkretnego przypadku i stopnia zaawansowania recesji. Czasami biomateriały są używane jako uzupełnienie przeszczepów, aby zwiększyć szanse na sukces i poprawić wyniki estetyczne. Wybór metody zawsze jest indywidualny i zależy od wielu czynników, które dokładnie analizuję z pacjentem.

Lepiej zapobiegać niż leczyć Twój plan na zdrowe dziąsła na lata
Jak to często bywa w medycynie, profilaktyka jest kluczem. Skoro wiemy, że dziąsła nie odrastają samoistnie, a leczenie recesji, choć skuteczne, bywa inwazyjne, to najlepszym rozwiązaniem jest zapobieganie jej powstawaniu. Jako Juliusz Czarnecki, zawsze zachęcam moich pacjentów do aktywnego udziału w utrzymaniu zdrowia jamy ustnej. Oto Twój plan na zdrowe dziąsła na lata.
Wybór idealnej szczoteczki i pasty co naprawdę ma znaczenie?
Zacznijmy od podstaw: wybór odpowiedniej szczoteczki i pasty. Zawsze rekomenduję stosowanie szczoteczek z miękkim lub ultra-miękkim włosiem. Twarde szczoteczki to jeden z głównych wrogów dziąseł. Jeśli chodzi o pastę, warto wybrać taką, która zawiera fluor (dla wzmocnienia szkliwa) i jest przeznaczona dla wrażliwych zębów lub dziąseł, jeśli już odczuwasz nadwrażliwość. Unikaj past o silnych właściwościach ściernych, które mogą dodatkowo uszkadzać dziąsła.
Technika mycia zębów, która chroni, a nie niszczy dziąsła
Nawet najlepsza szczoteczka nie pomoże, jeśli technika mycia jest niewłaściwa. Zapomnij o szorowaniu zębów poziomo. Prawidłowa technika to ruchy wymiatające od dziąsła w kierunku korony zęba. Szczoteczka powinna być ustawiona pod kątem 45 stopni do powierzchni zęba i dziąsła. Myj zęby delikatnie, ale dokładnie, poświęcając każdej powierzchni odpowiednią ilość czasu. Nie zapominaj o nitkowaniu przestrzeni międzyzębowych, które usuwa płytkę z miejsc niedostępnych dla szczoteczki.
Przeczytaj również: Ból dziąseł: Szybka ulga, domowe sposoby i kiedy do dentysty?
Jak często odwiedzać dentystę, by mieć problem z głowy?
Regularne wizyty kontrolne i higienizacyjne w gabinecie stomatologicznym to absolutna podstawa profilaktyki. Zalecam odwiedzanie dentysty co 6-12 miesięcy, nawet jeśli nie odczuwasz żadnych dolegliwości. Podczas takiej wizyty lekarz oceni stan Twoich dziąseł, wykryje ewentualne początki recesji czy stanu zapalnego, a higienistka profesjonalnie usunie płytkę i kamień. To inwestycja w długoterminowe zdrowie Twojego uśmiechu, która pozwoli uniknąć znacznie poważniejszych i droższych problemów w przyszłości.
