Podrażnione dziąsła to problem, z którym wielu z nas boryka się na co dzień. Niezależnie od tego, czy jest to chwilowy dyskomfort po zbyt intensywnym szczotkowaniu, czy długotrwały ból związany ze stanem zapalnym, szukamy szybkich i skutecznych rozwiązań. W tym artykule przedstawię sprawdzone metody od domowych sposobów, przez preparaty z apteki, aż po kluczowe wskazówki dotyczące profilaktyki które pomogą Ci odzyskać komfort i zdrowie jamy ustnej.
Jak skutecznie złagodzić podrażnione dziąsła i kiedy szukać pomocy stomatologa?
- Najczęstsze przyczyny podrażnień dziąseł to niewłaściwa higiena, nagromadzenie płytki nazębnej, urazy mechaniczne oraz zmiany hormonalne.
- Szybką ulgę w domu przyniosą płukanki ziołowe (szałwia, rumianek), roztwór soli kuchennej oraz zimne okłady.
- W aptece dostępne są żele (np. Sachol, Elugel), specjalistyczne pasty do zębów (np. Parodontax) i lecznicze płyny do płukania ust.
- Koniecznie skonsultuj się ze stomatologiem, jeśli krwawienie dziąseł utrzymuje się ponad tydzień, pojawia się silny ból, ropień, opuchlizna lub ruchomość zębów.
- Kluczem do długotrwałego zdrowia dziąseł jest prawidłowa technika szczotkowania, regularne używanie nici dentystycznej i irygatora oraz zbilansowana dieta.

Dlaczego dziąsła są podrażnione? Poznaj najczęstsze przyczyny
Z mojego doświadczenia wynika, że zrozumienie przyczyny podrażnień to pierwszy krok do skutecznego leczenia. Dziąsła mogą być wrażliwe i bolesne z wielu powodów. Oto najczęściej spotykane:
- Niewłaściwa higiena jamy ustnej: Zarówno niedokładne, jak i zbyt agresywne szczotkowanie, a także brak regularnego używania nici dentystycznej, prowadzi do gromadzenia się płytki nazębnej i kamienia.
- Nagromadzenie płytki nazębnej i kamienia: To główna przyczyna zapalenia dziąseł (gingivitis), które objawia się zaczerwienieniem, obrzękiem i krwawieniem.
- Infekcje: Bakteryjne, wirusowe lub grzybicze zakażenia mogą wywoływać ból i stany zapalne w jamie ustnej.
- Urazy mechaniczne: Dziąsła są delikatne. Mogą zostać podrażnione przez aparat ortodontyczny, źle dopasowaną protezę, twarde jedzenie, a nawet zbyt twardą szczoteczkę do zębów.
- Afty i pleśniawki: Te bolesne zmiany w jamie ustnej często pojawiają się na dziąsłach, powodując dyskomfort.
- Reakcje alergiczne: Czasami winowajcą jest pasta do zębów, płyn do płukania ust lub inny produkt, który wywołuje reakcję alergiczną.
- Zmiany hormonalne: Kobiety są szczególnie narażone na podrażnienia dziąseł w okresie ciąży, menopauzy czy podczas cyklu miesiączkowego, ze względu na wahania poziomu hormonów.
- Niedobory witamin: Brak witamin, zwłaszcza C i K, osłabia dziąsła i czyni je bardziej podatnymi na krwawienia i stany zapalne.
- Palenie papierosów i spożywanie alkoholu: Te używki znacząco pogarszają kondycję dziąseł, utrudniając ich gojenie i zwiększając ryzyko chorób przyzębia.
- Skutek uboczny niektórych leków: Niektóre medykamenty, np. na nadciśnienie, mogą powodować przerost dziąseł lub suchość w ustach, co sprzyja podrażnieniom.
- Podrażnienie po zabiegach stomatologicznych: Po skalingu, wybielaniu czy innych procedurach dziąsła mogą być przejściowo wrażliwe.
Szybka ulga w domu: sprawdzone sposoby na bolące dziąsła
Gdy dziąsła bolą, szukamy natychmiastowej ulgi. Na szczęście istnieje wiele domowych sposobów, które mogą przynieść szybkie ukojenie. Pamiętaj jednak, że to rozwiązania tymczasowe i nie zastępują wizyty u stomatologa w przypadku poważniejszych problemów.
-
Płukanka z szałwii: Szałwia to mój ulubiony ziołowy sprzymierzeniec w walce z podrażnieniami. Działa antyseptycznie i ściągająco, co pomaga zmniejszyć obrzęk i ból. Aby przygotować płukankę, zalej łyżeczkę suszonych liści szałwii szklanką wrzątku i parz pod przykryciem przez około 15 minut. Po przestudzeniu i odcedzeniu płucz usta kilka razy dziennie.
-
Płukanka z rumianku: Rumianek słynie ze swoich właściwości przeciwzapalnych i łagodzących. Przygotowuje się go podobnie jak szałwię łyżeczka suszu na szklankę wrzątku. Stosuj go, gdy dziąsła są zaczerwienione i bolące. Jest delikatny i bezpieczny nawet dla dzieci.
-
Płukanka z solą kuchenną: To prosty, ale niezwykle skuteczny sposób na odkażenie jamy ustnej i zmniejszenie obrzęku. Rozpuść pół łyżeczki soli kuchennej w szklance ciepłej wody. Płucz usta roztworem przez około 30 sekund, 2-3 razy dziennie. Sól pomaga również w usuwaniu bakterii.
-
Płukanka z wodą utlenioną: Rozcieńczona woda utleniona (1 część 3% wody utlenionej na 2 części wody) ma silne działanie antybakteryjne. Jest to dobra opcja na krótkotrwałe stosowanie, aby zwalczyć infekcje. Pamiętaj, aby nie połykać roztworu i używać jej z umiarem, ponieważ zbyt częste stosowanie może podrażniać błonę śluzową.
-
Olejowanie ust (ssanie oleju): Ta ajurwedyjska metoda polega na płukaniu ust olejem (najczęściej kokosowym) przez 10-20 minut. Olej kokosowy ma właściwości przeciwbakteryjne i może pomóc w redukcji płytki nazębnej i stanów zapalnych. Po płukaniu wypluj olej i dokładnie wypłucz usta wodą.
-
Okłady z torebek czarnej herbaty: Czarne torebki herbaty zawierają taniny, które działają ściągająco i mogą pomóc zmniejszyć krwawienie oraz obrzęk. Zaparz torebkę herbaty, ostudź ją (może być lekko ciepła lub zimna) i przyłóż bezpośrednio do podrażnionego dziąsła na kilka minut.
-
Unikaj drażniących pokarmów: Kiedy dziąsła są podrażnione, warto zrezygnować z ostrych, kwaśnych, bardzo twardych i gorących potraw. Mogą one nasilać ból i utrudniać gojenie. Postaw na miękkie, letnie posiłki, które nie będą dodatkowo obciążać wrażliwych miejsc.
Gdy domowe metody to za mało: przegląd preparatów z apteki
Czasami domowe sposoby nie wystarczają, zwłaszcza gdy podrażnienie jest silne lub utrzymuje się dłużej. W takich sytuacjach z pomocą przychodzą preparaty dostępne bez recepty w aptekach. Zawsze polecam mieć je w domowej apteczce.
-
Żele stomatologiczne: To bardzo popularne i skuteczne rozwiązanie. Żele działają miejscowo, przynosząc szybką ulgę w bólu i zmniejszając stan zapalny. Często zawierają substancje takie jak chlorheksydyna (o działaniu antyseptycznym), chlorek cetylopirydyniowy, lidokaina (znieczulająca) oraz wyciągi ziołowe (np. z szałwii, rumianku). Do znanych marek należą Sachol, Elugel, Gengigel czy Baikadent. Stosuje się je, nakładając niewielką ilość żelu bezpośrednio na podrażnione dziąsło.
-
Płyny do płukania jamy ustnej: Na rynku dostępne są specjalistyczne płukanki przeznaczone do leczenia stanów zapalnych dziąseł. Te z chlorheksydyną (np. Eludril, Corsodyl) są bardzo skuteczne w walce z bakteriami, ale powinny być stosowane krótkotrwale, zgodnie z zaleceniami, aby uniknąć przebarwień zębów. Istnieją również łagodniejsze płyny z ziołowymi ekstraktami lub te przeznaczone do codziennego stosowania dla osób z wrażliwymi dziąsłami, np. z serii Lacalut czy Parodontax.
-
Pasty do zębów na problemy z dziąsłami: Regularne stosowanie odpowiedniej pasty to podstawa profilaktyki i leczenia. Pasty takie jak Lacalut Aktiv, Parodontax czy Meridol zawierają składniki łagodzące, ściągające i antybakteryjne, które wspierają zdrowie dziąseł i redukują krwawienie. Warto wybrać taką, która odpowiada Twoim potrzebom i stosować ją codziennie.

Podrażnione dziąsła w szczególnych sytuacjach
Dziąsła mogą być wrażliwe z różnych powodów, a niektóre sytuacje wymagają szczególnej uwagi. Jako stomatolog często spotykam się z pacjentami, u których podrażnienia są związane z konkretnymi okolicznościami.
Po zabiegach stomatologicznych: To zupełnie normalne, że dziąsła są wrażliwe i lekko obolałe po zabiegach takich jak skaling (usuwanie kamienia nazębnego) czy wybielanie zębów. Zazwyczaj dyskomfort mija po kilku dniach. W tym czasie warto stosować łagodne płukanki ziołowe (szałwia, rumianek) oraz unikać drażniących pokarmów. Jeśli ból jest silny lub utrzymuje się długo, skonsultuj się z dentystą.Problemy związane z aparatem ortodontycznym: Aparat ortodontyczny, choć koryguje zgryz, może być przyczyną mechanicznych podrażnień dziąseł i błony śluzowej. Czasami druty czy zamki ocierają się o tkanki, powodując otarcia i stany zapalne. W takich przypadkach pomocne są specjalne woski ortodontyczne, które izolują aparat od dziąseł, a także płukanki z szałwii lub rumianku, które łagodzą podrażnienia. Niezwykle ważna jest też dokładna higiena jamy ustnej, aby resztki jedzenia nie zalegały wokół aparatu.
Wrażliwość dziąseł w ciąży: Ciąża to okres intensywnych zmian hormonalnych, które często prowadzą do tzw. ciążowego zapalenia dziąseł. Dziąsła stają się bardziej wrażliwe, zaczerwienione i skłonne do krwawień. Kluczem jest wzmożona, ale delikatna higiena jamy ustnej, regularne wizyty u stomatologa (który może zalecić profesjonalne czyszczenie) oraz stosowanie łagodnych płukanek ziołowych. Unikaj silnych płynów z alkoholem.
Podrażnienia u dzieci: Dziąsła u dzieci mogą być podrażnione z powodu wyrzynania się zębów mlecznych, a później stałych. Pomocne są wtedy specjalne żele na ząbkowanie, chłodne gryzaki oraz delikatne masaże dziąseł. U starszych dzieci podrażnienia mogą wynikać z niewłaściwej techniki szczotkowania lub pojawienia się aft. Warto uczyć dzieci prawidłowej higieny od najmłodszych lat i regularnie odwiedzać stomatologa dziecięcego.Czerwone flagi: kiedy pilnie udać się do stomatologa?
Choć wiele problemów z dziąsłami można rozwiązać domowymi metodami lub preparatami z apteki, istnieją sygnały, których nie wolno ignorować. Jako specjalista, zawsze podkreślam, że wczesna interwencja stomatologiczna może zapobiec poważniejszym komplikacjom. Oto „czerwone flagi”, które powinny skłonić Cię do natychmiastowej wizyty u dentysty:
- Krwawienie dziąseł utrzymujące się ponad tydzień: Jeśli mimo stosowania domowych metod i poprawy higieny dziąsła nadal krwawią podczas szczotkowania lub jedzenia przez dłużej niż tydzień, to sygnał, że problem jest poważniejszy i wymaga profesjonalnej oceny.
- Silny, pulsujący ból dziąsła lub zęba: Ostry, nieustępujący ból, zwłaszcza pulsujący, może wskazywać na ropień, zaawansowane zapalenie dziąseł lub problem z zębem. Nie zwlekaj z wizytą, ponieważ infekcja może się rozprzestrzeniać.
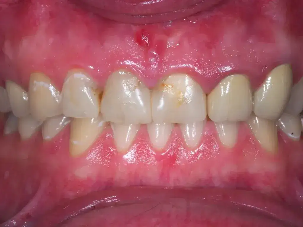
- Widoczna opuchlizna lub ropień na dziąśle: Opuchlizna, często połączona z zaczerwienieniem i ciepłem, a zwłaszcza obecność ropnia (małej, bolesnej krostki wypełnionej ropą), jest objawem infekcji, która wymaga natychmiastowego leczenia.
- Odsłonięte szyjki zębowe i nadwrażliwość zębów: Cofające się dziąsła odsłaniają korzenie zębów, co prowadzi do silnej nadwrażliwości na zimno, ciepło czy słodkie pokarmy. To znak zaawansowanej choroby przyzębia (paradontozy).
- Ruchomość zębów: Jeśli zauważysz, że którykolwiek z Twoich zębów stał się ruchomy, jest to bardzo poważny sygnał zaawansowanej paradontozy. W takiej sytuacji konieczna jest pilna interwencja stomatologa, aby spróbować uratować ząb.
- Nieprzyjemny zapach z ust, który nie mija po umyciu zębów: Przewlekły, nieświeży oddech (halitoza), który nie ustępuje po regularnym myciu zębów i używaniu nici dentystycznej, często jest objawem problemów z dziąsłami lub innymi schorzeniami jamy ustnej.
- Objawy ogólne, takie jak gorączka: Jeśli podrażnieniu dziąseł towarzyszą objawy ogólne, takie jak gorączka, osłabienie czy powiększone węzły chłonne, może to wskazywać na poważną infekcję, która wymaga szybkiej diagnostyki i leczenia.
Przeczytaj również: Gojenie dziąsła po ekstrakcji: Od skrzepu do zdrowia. Jak dbać?
Zapobieganie jest kluczem: jak na stałe zadbać o zdrowe dziąsła?
Z mojego doświadczenia wynika, że najlepszym sposobem na uniknięcie problemów z podrażnionymi dziąsłami jest konsekwentna profilaktyka. To inwestycja w długoterminowe zdrowie jamy ustnej, która procentuje na lata.
- Prawidłowa technika szczotkowania: To podstawa! Zbyt mocne szczotkowanie może uszkadzać dziąsła, a zbyt słabe nie usuwa płytki nazębnej. Używaj miękkiej lub średniej szczoteczki i szczotkuj zęby delikatnymi, wymiatającymi ruchami, pod kątem 45 stopni do linii dziąseł. Pamiętaj, aby szczotkować zęby co najmniej dwa razy dziennie przez dwie minuty.
-
Regularne używanie nici dentystycznej: Sama szczoteczka nie dotrze do wszystkich zakamarków, zwłaszcza przestrzeni międzyzębowych, gdzie gromadzi się płytka nazębna i resztki jedzenia. Nić dentystyczna powinna być używana co najmniej raz dziennie, najlepiej wieczorem, aby usunąć bakterie i zapobiec stanom zapalnym dziąseł.
-
Włączenie irygatora do codziennej higieny: Irygator to świetne uzupełnienie szczotkowania i nitkowania, szczególnie dla osób z aparatem ortodontycznym, mostami czy koronami. Strumień wody pod ciśnieniem skutecznie wypłukuje resztki jedzenia i bakterie z trudno dostępnych miejsc, masując jednocześnie dziąsła i poprawiając ich ukrwienie.
-
Zbilansowana dieta: To, co jemy, ma ogromny wpływ na zdrowie dziąseł. Dieta bogata w świeże warzywa i owoce dostarcza niezbędnych witamin i minerałów. Szczególnie ważne są witamina C (wspiera produkcję kolagenu, który buduje dziąsła) oraz witamina K (odgrywa rolę w krzepnięciu krwi i pomaga zapobiegać krwawieniom). Unikaj nadmiernego spożycia cukrów i przetworzonej żywności, które sprzyjają rozwojowi bakterii.
-
Regularne wizyty kontrolne u stomatologa: Nawet przy najlepszej higienie domowej, profesjonalne czyszczenie zębów (skaling i piaskowanie) co 6-12 miesięcy jest niezbędne do usunięcia kamienia nazębnego, którego nie da się usunąć samodzielnie. Stomatolog może również wcześnie wykryć i leczyć wszelkie problemy z dziąsłami, zanim staną się poważne.
