Stan zapalny dziąseł to problem, który dotyka wielu z nas, często bagatelizowany, a jednak niosący za sobą poważne konsekwencje dla zdrowia całej jamy ustnej. Nieleczony może prowadzić do poważniejszych schorzeń, w tym paradontozy, a nawet utraty zębów. W tym artykule, jako Juliusz Czarnecki, postaram się kompleksowo przedstawić przyczyny, objawy, skuteczne metody leczenia zarówno te domowe, jak i profesjonalne oraz zasady profilaktyki, aby każdy mógł świadomie zadbać o swoje dziąsła i cieszyć się zdrowym uśmiechem.
- Najczęstszą przyczyną zapalenia dziąseł jest niewłaściwa higiena prowadząca do nagromadzenia płytki bakteryjnej.
- Typowe objawy to zaczerwienienie, obrzęk, krwawienie podczas szczotkowania oraz ból i nieświeży oddech.
- Wsparcie w domu zapewniają płukanki ziołowe (szałwia, rumianek), solne oraz ostrożnie stosowana woda utleniona.
- W aptece dostępne są skuteczne płyny z chlorheksydyną, żele stomatologiczne i specjalistyczne pasty do zębów.
- Wizyta u stomatologa jest konieczna, gdy domowe sposoby nie przynoszą poprawy po 3-5 dniach lub objawy się nasilają.
- Nieleczony stan zapalny może prowadzić do poważnych konsekwencji, w tym paradontozy i utraty zębów.

Zapalenie dziąseł: pierwsze sygnały, których nie wolno ignorować
Rozpoznaj wroga: Czym dokładnie jest stan zapalny dziąseł?
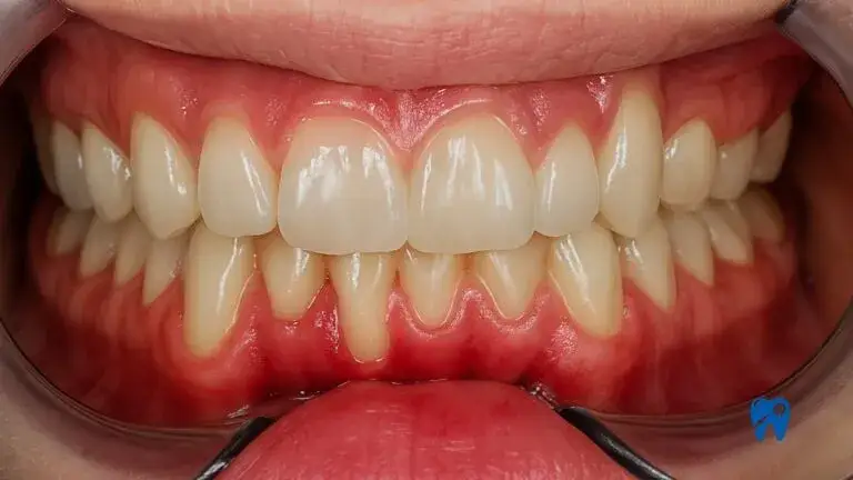
Zapalenie dziąseł, znane również jako gingivitis, to powszechna choroba zapalna tkanek otaczających zęby. Najczęściej jest ono spowodowane nagromadzeniem się płytki bakteryjnej na powierzchni zębów, zwłaszcza wzdłuż linii dziąseł. Jeśli płytka nie jest regularnie usuwana, twardnieje, tworząc kamień nazębny, który dodatkowo sprzyja rozwojowi bakterii. Dziąsła reagują na obecność tych drobnoustrojów stanem zapalnym, który, jeśli jest ignorowany, może przekształcić się w poważniejszą chorobę przyzębia paradontozę.
Od zaczerwienienia po ból kluczowe objawy zapalenia dziąseł
Rozpoznanie zapalenia dziąseł na wczesnym etapie jest kluczowe dla skutecznego leczenia. Z mojego doświadczenia wiem, że pacjenci często bagatelizują pierwsze symptomy. Oto kluczowe objawy, na które należy zwrócić uwagę:
- Zaczerwienienie dziąseł: Zdrowe dziąsła mają bladoróżowy kolor. Jeśli zauważysz, że stają się intensywnie czerwone lub ciemnoczerwone, to sygnał alarmowy.
- Obrzęk dziąseł: Dziąsła mogą stać się spuchnięte i nabrzmiałe, często wyglądają na „napompowane” i są bardziej wrażliwe na dotyk.
- Krwawienie podczas szczotkowania lub nitkowania: To jeden z najbardziej charakterystycznych i najwcześniejszych objawów. Nawet delikatne szczotkowanie czy użycie nici dentystycznej może wywołać krwawienie.
- Ból lub tkliwość dziąseł: Dziąsła mogą być bolesne przy dotyku, jedzeniu, a nawet spontanicznie.
- Nadwrażliwość zębów: W wyniku stanu zapalnego może dojść do odsłonięcia szyjek zębowych, co prowadzi do nadwrażliwości na zimne, ciepłe lub słodkie pokarmy.
- Nieświeży oddech (halitoza): Bakterie rozwijające się w płytce nazębnej i w stanach zapalnych dziąseł produkują lotne związki siarki, które są przyczyną nieprzyjemnego zapachu z ust.
Główne przyczyny problemu: od płytki bakteryjnej po ukryte choroby
Jak już wspomniałem, niewłaściwa higiena jamy ustnej i wynikające z niej nagromadzenie płytki bakteryjnej to najczęstsza i podstawowa przyczyna zapalenia dziąseł. Jednak istnieje szereg innych czynników, które mogą zwiększać ryzyko lub nasilać problem. W mojej praktyce często obserwuję, jak te dodatkowe czynniki wpływają na rozwój choroby. Do najważniejszych należą: palenie papierosów, które osłabia odporność dziąseł i maskuje krwawienie, cukrzyca, która upośledza zdolność organizmu do zwalczania infekcji, oraz zmiany hormonalne, takie jak te występujące w ciąży czy menopauzie, które mogą sprawić, że dziąsła stają się bardziej wrażliwe. Ponadto, stres, niedobory witamin (zwłaszcza C i K), przyjmowanie niektórych leków (np. leków immunosupresyjnych, niektórych leków na ciśnienie) oraz czynniki genetyczne również odgrywają istotną rolę. Zawsze staram się edukować pacjentów, że zapalenie dziąseł to często efekt złożonej interakcji wielu czynników.
Szybka pomoc w domu: sprawdzone metody na złagodzenie zapalenia dziąseł
Kiedy dziąsła zaczynają dawać o sobie znać, wiele osób szuka ulgi w domowych sposobach. I słusznie! Istnieje kilka sprawdzonych metod, które mogą przynieść szybką ulgę i wspomóc proces leczenia, zanim zdecydujemy się na wizytę u specjalisty. Pamiętajmy jednak, że domowe sposoby to wsparcie, a nie zastępstwo dla profesjonalnej opieki.
Ziołowa apteczka: Jak szałwia, rumianek i kora dębu mogą uratować Twoje dziąsła?
Natura oferuje nam wiele składników o właściwościach leczniczych, które doskonale sprawdzają się w łagodzeniu stanów zapalnych dziąseł. Ziołowe płukanki to jeden z moich ulubionych sposobów na pierwsze objawy. Ich przygotowanie jest proste, a działanie często zaskakująco skuteczne.
- Szałwia: Ma silne właściwości antyseptyczne i ściągające. Napar z szałwii pomaga zredukować obrzęk i krwawienie. Aby go przygotować, zalej łyżkę suszonych liści szklanką wrzątku i parz pod przykryciem przez około 15 minut. Po przestudzeniu płucz usta kilka razy dziennie.
- Rumianek: Znany ze swoich właściwości przeciwzapalnych i łagodzących. Jest idealny dla podrażnionych dziąseł. Przygotowuje się go podobnie jak szałwię łyżka suszu na szklankę wrzątku.
- Kora dębu: Działa silnie ściągająco i antybakteryjnie, co jest szczególnie pomocne przy krwawiących dziąsłach. Napar z kory dębu jest mocniejszy gotuj łyżkę kory w szklance wody przez około 5-10 minut, a następnie odcedź i ostudź.
- Tymianek: Posiada silne właściwości antyseptyczne. Napar z tymianku (łyżka suszu na szklankę wrzątku) może wspomóc walkę z bakteriami w jamie ustnej.
Płukanki ziołowe stosuj 2-3 razy dziennie, najlepiej po posiłkach i szczotkowaniu zębów.
Płukanka z soli lub wody utlenionej kiedy i jak bezpiecznie stosować?
Oprócz ziół, w domowej apteczce znajdziemy również inne skuteczne środki. Płukanka z soli kuchennej to tradycyjna metoda, którą polecam ze względu na jej działanie odkażające i zdolność do zmniejszania obrzęku. Aby ją przygotować, rozpuść pół łyżeczki soli w szklance ciepłej wody. Płucz usta roztworem przez około 30 sekund, 2-3 razy dziennie. Pamiętaj, aby nie połykać roztworu. Woda utleniona, dzięki swoim właściwościom antybakteryjnym, również bywa stosowana w walce z zapaleniem dziąseł. Jednak w tym przypadku konieczna jest ostrożność. Zawsze należy ją rozcieńczyć. Proponuję użyć 3% wody utlenionej i rozcieńczyć ją w proporcji 1:1 z wodą (np. łyżka wody utlenionej na łyżkę wody). Płucz usta przez krótki czas (maksymalnie 30 sekund), nie częściej niż raz dziennie i nie połykaj. Długotrwałe lub zbyt stężone stosowanie wody utlenionej może podrażnić błony śluzowe.
Olej kokosowy na ratunek: Czy ssanie oleju naprawdę działa?
Metoda olejowania ust, znana również jako "oil pulling", wywodzi się z medycyny ajurwedyjskiej i zyskuje coraz większą popularność. Polega ona na płukaniu ust olejem (najczęściej kokosowym, ze względu na jego właściwości antybakteryjne) przez około 15-20 minut. Celem jest "wyciągnięcie" bakterii i toksyn z jamy ustnej. Choć badania naukowe na ten temat są wciąż ograniczone, wielu moich pacjentów zgłasza poprawę, mniejszą ilość płytki nazębnej i świeższy oddech. Ważne jest, aby po ssaniu oleju wypluć go do kosza (nie do zlewu, aby nie zapchać rur) i dokładnie wypłukać usta wodą.

Co kupić w aptece bez recepty? Przegląd skutecznych preparatów na dziąsła
Kiedy domowe sposoby to za mało, a wizyta u stomatologa jeszcze przed nami, apteka oferuje szeroki wachlarz preparatów dostępnych bez recepty, które mogą skutecznie wspomóc walkę ze stanem zapalnym dziąseł. Jako Juliusz Czarnecki, często polecam moim pacjentom konkretne produkty, które sprawdziły się w praktyce.
Płyny z chlorheksydyną: Złoty standard w walce z bakteriami
Płyny do płukania ust zawierające chlorheksydynę to prawdziwy "złoty standard" w antyseptyce jamy ustnej. Chlorheksydyna jest silnym środkiem bakteriobójczym i bakteriostatycznym, który skutecznie redukuje ilość bakterii w jamie ustnej i hamuje tworzenie się płytki nazębnej. Preparaty takie jak Eludril czy Corsodyl są bardzo efektywne, jednak należy pamiętać, że są przeznaczone do krótkoterminowego stosowania (zazwyczaj do 2 tygodni). Długotrwałe użycie może prowadzić do przebarwień zębów i języka, a także zaburzeń smaku. Zawsze zalecam konsultację z farmaceutą lub stomatologiem przed rozpoczęciem ich stosowania.
Żele stomatologiczne: Jak działają i który wybrać do stosowania miejscowego?
Żele stomatologiczne to doskonałe rozwiązanie, gdy stan zapalny jest zlokalizowany lub chcemy działać miejscowo. Zawierają one substancje przeciwzapalne, przeciwbólowe i antyseptyczne, które szybko przynoszą ulgę. Przykładowe preparaty to Sachol (zawierający salicylan choliny i cetalkoniowy chlorek) czy Elugel (z chlorheksydyną). Żele te są szczególnie przydatne przy bolesnych owrzodzeniach, aftach, czy punktowych stanach zapalnych dziąseł. Aplikuje się je bezpośrednio na zmienione chorobowo miejsce, co pozwala na skoncentrowane działanie składników aktywnych.
Specjalistyczne pasty do zębów czy są skuteczniejsze niż zwykłe?
Na rynku dostępnych jest wiele specjalistycznych past do zębów, dedykowanych osobom z problemami dziąseł. Czy są skuteczniejsze niż zwykłe? Zdecydowanie tak, w kontekście wspierania zdrowia dziąseł. Różnią się składem często zawierają wyciągi ziołowe (np. z szałwii, rumianku, mirry), chlorheksydynę w niższym stężeniu (bezpieczną do codziennego stosowania), a także substancje łagodzące i wzmacniające dziąsła. Marki takie jak Parodontax czy Lacalut są dobrze znane i cenione. Ich regularne stosowanie pomaga w redukcji krwawienia, wzmacnia dziąsła i zapobiega nawrotom stanów zapalnych. Stanowią one ważny element codziennej profilaktyki i wsparcia leczenia.
Kiedy domowe sposoby nie wystarczą? Sygnały alarmowe do wizyty u dentysty
Nawet najlepsze domowe metody i apteczne preparaty bez recepty mają swoje granice. Kluczowe jest, aby wiedzieć, kiedy nadszedł czas na wizytę u specjalisty. Ignorowanie sygnałów alarmowych może prowadzić do poważnych i nieodwracalnych konsekwencji.
Ile dni można leczyć się samemu? Bezpieczna granica czasowa
Z mojego doświadczenia wynika, że jeśli po 3-5 dniach intensywnego stosowania domowych płukanek i aptecznych preparatów bez recepty nie zauważysz wyraźnej poprawy, a objawy takie jak krwawienie, ból czy obrzęk dziąseł utrzymują się lub wręcz nasilają, to jest to jasny sygnał, że należy bezzwłocznie umówić się na wizytę u stomatologa. Nie ma sensu zwlekać, ponieważ każdy dzień opóźnienia może pogorszyć sytuację.
Profesjonalne zabiegi, które ratują dziąsła: skaling, piaskowanie i kiretaż
Kiedy domowe metody zawodzą, stomatolog dysponuje szeregiem profesjonalnych zabiegów, które są niezbędne do skutecznego leczenia zapalenia dziąseł i jego konsekwencji.
- Skaling (usuwanie kamienia nazębnego): To podstawowy zabieg, polegający na usunięciu twardych złogów kamienia nazębnego, zarówno naddziąsłowego, jak i poddziąsłowego, za pomocą ultradźwięków. Kamień jest głównym siedliskiem bakterii i jego usunięcie jest kluczowe dla zdrowia dziąseł.
- Piaskowanie (usuwanie osadu): Po skalingu często wykonuje się piaskowanie, które polega na usunięciu miękkiego osadu i przebarwień z powierzchni zębów za pomocą strumienia wody, powietrza i specjalnego proszku. Pozostawia zęby gładkie, co utrudnia ponowne przyleganie płytki bakteryjnej.
- Kiretaż (głębsze czyszczenie kieszonek dziąsłowych): Jeśli stan zapalny jest zaawansowany i doszło do powstania głębokich kieszonek dziąsłowych, konieczny może być kiretaż. Jest to zabieg polegający na dokładnym oczyszczeniu korzeni zębów z kamienia i zainfekowanych tkanek wewnątrz kieszonek. Może być wykonywany jako kiretaż zamknięty (bez odchylania płata dziąsłowego) lub otwarty (z odchyleniem dziąsła).
- Leczenie chirurgiczne: W bardzo zaawansowanych przypadkach paradontozy, kiedy inne metody nie przynoszą rezultatów, konieczne może być leczenie chirurgiczne, np. w celu regeneracji utraconych tkanek przyzębia lub redukcji głębokich kieszonek.
Czym grozi zignorowanie problemu? Od paradontozy do utraty zębów
Zignorowanie przewlekłego stanu zapalnego dziąseł to prosta droga do poważnych problemów. Nieleczone zapalenie dziąseł nie tylko prowadzi do rozwoju paradontozy choroby, która atakuje tkanki utrzymujące ząb w kości ale w konsekwencji może skutkować nieodwracalną utratą zębów. Bakterie i stan zapalny niszczą więzadła ozębnej i kość wyrostka zębodołowego, co prowadzi do rozchwiania, a w końcu do wypadania zębów. Co więcej, przewlekłe stany zapalne w jamie ustnej mogą mieć negatywny wpływ na ogólny stan zdrowia, zwiększając ryzyko chorób serca, cukrzycy czy powikłań w ciąży. To naprawdę problem, którego nie wolno lekceważyć.
Zapobiegaj zamiast leczyć: jak dbać o dziąsła na co dzień
Najlepszym sposobem na zdrowe dziąsła jest konsekwentna profilaktyka. Zawsze powtarzam moim pacjentom, że lepiej zapobiegać niż leczyć, a w przypadku dziąseł ta zasada ma szczególne zastosowanie.
Technika ma znaczenie: Jak prawidłowo szczotkować i nitkować zęby?
Podstawą profilaktyki zapalenia dziąseł jest prawidłowa higiena jamy ustnej. Nie wystarczy po prostu szczotkować zęby kluczowa jest technika i regularność.
- Szczotkowanie: Zęby należy szczotkować co najmniej dwa razy dziennie, przez minimum 2 minuty, używając miękkiej szczoteczki. Skup się na linii dziąseł, wykonując delikatne, wymiatające ruchy od dziąsła do korony zęba. Unikaj zbyt mocnego szorowania, które może podrażnić dziąsła.
- Nitkowanie: Nici dentystycznej należy używać codziennie, najlepiej wieczorem. To jedyny sposób na usunięcie płytki bakteryjnej i resztek pokarmowych z przestrzeni międzyzębowych, gdzie szczoteczka nie dociera. Pamiętaj, aby delikatnie wprowadzać nić pod linię dziąseł.
- Dodatkowe narzędzia: Warto rozważyć użycie irygatora do płukania przestrzeni międzyzębowych oraz szczoteczek międzyzębowych, które są szczególnie przydatne przy większych przestrzeniach.
Dieta dla zdrowych dziąseł: Jakie produkty włączyć do jadłospisu?
Dieta ma ogromny wpływ na zdrowie całego organizmu, w tym również dziąseł. Odpowiednia podaż witamin i minerałów jest kluczowa. Szczególnie ważne są witamina C (niezbędna do produkcji kolagenu, który buduje dziąsła) oraz witamina K (odgrywająca rolę w krzepnięciu krwi, co może pomóc w redukcji krwawienia dziąseł). Włącz do jadłospisu dużo świeżych warzyw i owoców (cytrusy, papryka, brokuły), produkty pełnoziarniste, chude białka. Unikaj nadmiernego spożycia cukru i przetworzonej żywności, które sprzyjają rozwojowi bakterii.
Przeczytaj również: Płukanie dziąseł szałwią: naturalny sposób na zdrowe dziąsła?
Znaczenie regularnych wizyt kontrolnych u stomatologa
Chociaż świadomość na temat profilaktyki chorób przyzębia w Polsce rośnie, wciąż zbyt wielu Polaków zgłasza się do dentysty dopiero w zaawansowanym stadium choroby. Moim zdaniem, regularne wizyty kontrolne u stomatologa, przynajmniej raz na 6-12 miesięcy, są absolutnie kluczowe. Pozwalają one na wczesne wykrycie i leczenie problemów z dziąsłami, zanim staną się poważne. Podczas takiej wizyty dentysta może ocenić stan Twoich dziąseł, usunąć kamień nazębny i osad, a także udzielić indywidualnych wskazówek dotyczących higieny. To inwestycja w długoterminowe zdrowie Twoich dziąseł i całego uśmiechu.
