Ile kosztuje usunięcie kamienia nazębnego w Polsce kluczowe informacje o cenach i pakietach higienizacyjnych
- Sam skaling obu łuków zębowych kosztuje zazwyczaj od 150 zł do 300 zł.
- Pełny pakiet higienizacyjny (skaling, piaskowanie, polerowanie, fluoryzacja) to wydatek rzędu 250 zł do 550 zł.
- Na NFZ przysługuje bezpłatne usunięcie kamienia raz na 12 miesięcy, bez piaskowania i fluoryzacji.
- Cena zależy od lokalizacji gabinetu, zakresu zabiegu, ilości kamienia oraz renomy kliniki.
- Zaleca się profesjonalną higienizację co 6-12 miesięcy, a dla osób z czynnikami ryzyka (palenie, kawa) nawet częściej.
Dlaczego regularne usuwanie kamienia jest kluczowe dla zdrowia zębów?
Jako ekspert w dziedzinie zdrowia jamy ustnej, zawsze podkreślam, że regularne usuwanie kamienia nazębnego to fundament profilaktyki. Wielu moich pacjentów pyta o koszty, ale równie ważne jest zrozumienie, dlaczego ten zabieg jest tak istotny. To inwestycja w długoterminowe zdrowie, która pozwala uniknąć znacznie droższych i bardziej skomplikowanych problemów w przyszłości.
Czym jest kamień nazębny i dlaczego jego regularne usuwanie jest tak istotne?
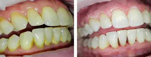
Kamień nazębny to nic innego jak zmineralizowana płytka bakteryjna, która gromadzi się na powierzchni zębów. Powstaje, gdy miękka płytka, złożona z resztek jedzenia, bakterii i śliny, nie jest regularnie usuwana podczas codziennego szczotkowania i nitkowania. Z czasem sole mineralne zawarte w ślinie twardnieją, tworząc twarde, porowate złogi, których nie da się usunąć domowymi metodami. Nieusuwany kamień stanowi idealne środowisko dla rozwoju bakterii, co prowadzi do szeregu poważnych problemów: stanów zapalnych dziąseł (gingivitis), krwawienia, nieświeżego oddechu, a w konsekwencji do paradontozy choroby przyzębia, która może skutkować rozchwianiem i utratą zębów. Co więcej, kamień sprzyja rozwojowi próchnicy, ponieważ bakterie mają idealne warunki do produkcji kwasów niszczących szkliwo.
Krótki przegląd: co wpływa na ostateczną cenę zabiegu w Polsce?
Z mojego doświadczenia wynika, że ostateczny koszt usunięcia kamienia nazębnego w Polsce zależy od kilku kluczowych czynników. Warto je znać, aby świadomie wybrać gabinet i zakres usług. Oto najważniejsze z nich:
- Lokalizacja gabinetu: Ceny w dużych miastach i aglomeracjach są zazwyczaj wyższe.
- Zakres zabiegu: Czy decydujemy się tylko na skaling, czy na pełny pakiet higienizacyjny obejmujący piaskowanie, polerowanie i fluoryzację.
- Ilość nagromadzonego kamienia: Większa ilość kamienia, zwłaszcza poddziąsłowego, może wymagać dłuższego czasu i większego zaangażowania, co wpływa na cenę.
- Renoma kliniki i zastosowana technologia: Nowoczesny sprzęt i doświadczenie specjalisty często wiążą się z wyższymi kosztami, ale też z wyższą jakością usługi.

Ile kosztuje skaling? Przegląd cen w polskich gabinetach
Zrozumienie, ile kosztuje sam zabieg skalingu, jest pierwszym krokiem do zaplanowania budżetu na higienę jamy ustnej. Ceny mogą się różnić, dlatego postaram się przedstawić realistyczne widełki, które pomogą Państwu zorientować się w rynkowych realiach.
Sam skaling, czyli podstawa higienizacji: jakie są widełki cenowe?
Podstawowy zabieg skalingu, czyli usunięcia kamienia nazębnego z obu łuków zębowych, zazwyczaj wykonywany skalerem ultradźwiękowym, kosztuje w Polsce od 150 zł do 300 zł. Jest to cena za samą procedurę usunięcia twardych złogów. Warto pamiętać, że jest to absolutne minimum, które powinno być regularnie wykonywane.
Cena w zależności od miasta: gdzie jest najdrożej, a gdzie najtaniej?
Jak wspomniałem wcześniej, lokalizacja ma znaczący wpływ na cenę. W dużych aglomeracjach, takich jak Warszawa, Kraków czy Gdańsk, możemy spodziewać się cen bliższych górnej granicy podanych widełek, a nawet je przekraczających. W mniejszych miastach i miejscowościach ceny bywają bardziej przystępne, co nie oznacza niższej jakości usług. Zawsze warto sprawdzić opinie o gabinecie, niezależnie od jego lokalizacji.
Skaling naddziąsłowy vs. poddziąsłowy: kiedy cena rośnie i dlaczego?
Warto rozróżnić dwa rodzaje skalingu. Skaling naddziąsłowy, który jest najczęściej wykonywany, polega na usunięciu kamienia widocznego gołym okiem, znajdującego się powyżej linii dziąseł. Natomiast skaling poddziąsłowy to znacznie bardziej zaawansowana procedura, polegająca na usunięciu kamienia zlokalizowanego w kieszonkach dziąsłowych, czyli poniżej linii dziąseł. Jest to zabieg bardziej skomplikowany, często wymagający znieczulenia i większej precyzji, dlatego jego cena jest wyższa może wynosić od 200 zł do 600 zł za jedną sesję. Zazwyczaj jest on zalecany pacjentom z zaawansowaną chorobą przyzębia.

Pełna higienizacja to kompleksowa ochrona: co obejmuje i ile kosztuje?
Zawsze rekomenduję moim pacjentom pełen pakiet higienizacyjny. To nie tylko skaling, ale kompleksowa procedura, która zapewnia znacznie lepsze i trwalsze efekty, chroniąc zęby na wielu płaszczyznach. To inwestycja, która naprawdę się opłaca.
Skaling, piaskowanie, polerowanie, fluoryzacja: co kryje się pod tymi nazwami?
Pełna higienizacja to synergiczne połączenie kilku zabiegów, które wzajemnie się uzupełniają:
- Skaling: Jak już wspomniałem, to mechaniczne usuwanie twardych złogów kamienia nazębnego, najczęściej za pomocą skalera ultradźwiękowego. Jest to pierwszy i podstawowy etap.
- Piaskowanie: Po usunięciu kamienia, piaskowanie pozwala na usunięcie miękkich osadów, przebarwień (np. po kawie, herbacie, czerwonym winie czy papierosach) oraz resztek płytki bakteryjnej z trudno dostępnych miejsc. Wykorzystuje się do tego strumień wody z drobnymi cząsteczkami czyszczącymi.
- Polerowanie: Po skalingu i piaskowaniu powierzchnia zębów może być nieco chropowata. Polerowanie, wykonywane specjalnymi pastami i szczoteczkami, wygładza szkliwo, co znacznie utrudnia ponowne osadzanie się płytki bakteryjnej i kamienia. Zęby stają się gładkie i lśniące.
- Fluoryzacja (lakierowanie): To ostatni etap, polegający na nałożeniu na zęby preparatu z wysokim stężeniem fluoru. Fluor wzmacnia szkliwo, czyniąc je bardziej odpornym na działanie kwasów i rozwój próchnicy, a także zmniejsza nadwrażliwość pozabiegową.
Analiza cenowa pakietów 4w1: czy opłaca się bardziej niż pojedyncze zabiegi?
Koszt pełnego pakietu higienizacyjnego, obejmującego skaling, piaskowanie, polerowanie i fluoryzację, waha się najczęściej w przedziale od 250 zł do 550 zł. Z mojego doświadczenia wynika, że wybór pakietu jest często bardziej opłacalny niż wykonywanie każdego z tych zabiegów osobno. Gabinety stomatologiczne oferują pakiety w promocyjnych cenach, co pozwala zaoszczędzić kilkadziesiąt, a nawet sto kilkadziesiąt złotych w porównaniu do sumy cen pojedynczych usług. To rozsądna inwestycja w kompleksową ochronę.
Jakie korzyści daje połączenie skalingu z piaskowaniem?
Połączenie skalingu z piaskowaniem to prawdziwy duet w walce o zdrowy i estetyczny uśmiech. Skaling usuwa twardy kamień, który jest głównym winowajcą chorób przyzębia. Piaskowanie natomiast doskonale radzi sobie z miękkimi osadami i przebarwieniami, które często pozostają po samym skalingu. Dzięki temu zęby są nie tylko zdrowe, ale również znacznie jaśniejsze i gładsze. To kompleksowe działanie nie tylko poprawia estetykę, ale przede wszystkim znacząco zmniejsza ryzyko rozwoju próchnicy i chorób dziąseł, ponieważ usuwa niemal wszystkie miejsca, w których mogłyby gromadzić się bakterie.Czynniki wpływające na ostateczny koszt zabiegu
Poza podstawowymi cenami i pakietami, istnieje kilka innych czynników, które mogą wpłynąć na ostateczny rachunek za higienizację. Warto być świadomym tych elementów, aby uniknąć niespodzianek i zrozumieć, co dokładnie płacimy.
Jak ilość nagromadzonego kamienia wpływa na czas i koszt zabiegu?
Ilość i twardość kamienia nazębnego mają bezpośredni wpływ na czas trwania zabiegu, a co za tym idzie na jego koszt. Jeśli pacjent nie usuwał kamienia przez długi czas, a złogi są obfite i mocno przylegające, zabieg będzie wymagał więcej czasu i pracy higienistki lub stomatologa. W skrajnych przypadkach, gdy kamień jest bardzo rozległy i twardy, może być konieczne podzielenie zabiegu na dwie sesje, co oczywiście podniesie łączny koszt.
Renoma kliniki i nowoczesne technologie: czy warto za nie dopłacać?
Nie da się ukryć, że kliniki z ugruntowaną renomą, zatrudniające doświadczonych specjalistów i inwestujące w nowoczesny sprzęt, często mają wyższe ceny. Czy warto za to dopłacać? Moim zdaniem, tak. Nowoczesne skalery ultradźwiękowe, precyzyjne piaskarki czy lasery do wspomagania zabiegów mogą sprawić, że procedura będzie bardziej komfortowa, szybsza i skuteczniejsza. Doświadczenie higienistki czy stomatologa to gwarancja precyzji i bezpieczeństwa, co jest bezcenne dla zdrowia jamy ustnej.
Znieczulenie podczas zabiegu: kiedy jest potrzebne i czy jest dodatkowo płatne?
Standardowy skaling naddziąsłowy zazwyczaj nie wymaga znieczulenia, choć osoby z nadwrażliwością mogą odczuwać pewien dyskomfort. W przypadku skalingu poddziąsłowego, a także u pacjentów z bardzo wrażliwymi zębami lub stanami zapalnymi dziąseł, znieczulenie miejscowe jest często konieczne dla komfortu pacjenta. Czy jest dodatkowo płatne? To zależy od polityki gabinetu. Niektóre kliniki wliczają je w cenę pakietu, inne doliczają symboliczną kwotę (np. 30-50 zł) za ampułkę znieczulenia. Zawsze warto zapytać o to przed zabiegiem.
Usuwanie kamienia na NFZ: co obejmuje refundacja i kiedy jest możliwa?
Wielu pacjentów zastanawia się, czy usunięcie kamienia nazębnego jest refundowane przez Narodowy Fundusz Zdrowia. Odpowiedź brzmi: tak, ale z pewnymi ograniczeniami. Zawsze podkreślam, że warto znać swoje prawa i możliwości, aby świadomie decydować o swoim zdrowiu.
Jakie są zasady refundacji zabiegu? Kto i jak często może skorzystać?
Osobom ubezpieczonym w NFZ przysługuje bezpłatne usunięcie kamienia nazębnego (skaling) raz na 12 miesięcy. Refundacja obejmuje usunięcie złogów ze wszystkich zębów. To ważna informacja, ponieważ pozwala na utrzymanie podstawowej higieny jamy ustnej bez ponoszenia kosztów. Co więcej, kobiety w ciąży i połogu mają prawo do usuwania złogów nazębnych częściej raz na 6 miesięcy, co jest szczególnie istotne ze względu na zmiany hormonalne wpływające na stan dziąseł w tym okresie.
Czego możesz oczekiwać po zabiegu na NFZ, a za co na pewno dopłacisz?
Zabieg skalingu na NFZ jest często wykonywany w podstawowym zakresie. Oznacza to, że skupia się on wyłącznie na usunięciu twardego kamienia nazębnego. Niestety, w ramach refundacji zazwyczaj nie są objęte dodatkowe procedury, takie jak piaskowanie (usuwanie osadów i przebarwień), polerowanie czy fluoryzacja. Jeśli zależy nam na tych uzupełniających zabiegach, które znacząco poprawiają efekt końcowy i wzmacniają zęby, będziemy musieli za nie zapłacić pełną cenę, nawet jeśli skaling wykonujemy na NFZ.
Porównanie oferty NFZ z prywatną praktyką: kluczowe różnice.
Kluczowe różnice między ofertą NFZ a gabinetami prywatnymi sprowadzają się do zakresu usług i komfortu. W prywatnej praktyce zazwyczaj otrzymujemy kompleksową higienizację (skaling, piaskowanie, polerowanie, fluoryzacja) w jednym pakiecie, często z możliwością wyboru dogodnego terminu i krótszym czasem oczekiwania. Gabinety prywatne często dysponują też nowocześniejszym sprzętem. Na NFZ możemy liczyć na bezpłatny skaling, ale bez dodatkowych procedur, co może oznaczać, że zęby nie będą tak gładkie i lśniące, a ochrona przed próchnicą nie będzie tak kompleksowa. Czas oczekiwania na wizytę na NFZ również bywa dłuższy. Wybór zależy od indywidualnych potrzeb i możliwości finansowych, ale zawsze warto pamiętać o minimum raz w roku bezpłatnym skalingu.
Jak często usuwać kamień, aby dbać o zdrowie i nie przepłacać?
Pytanie o częstotliwość profesjonalnej higienizacji jest jednym z najczęściej zadawanych. Moja odpowiedź zawsze brzmi: to zależy od indywidualnych predyspozycji, ale istnieją pewne ogólne wytyczne, które pomogą Państwu utrzymać zdrowy uśmiech i optymalizować koszty.
Standardowe zalecenia: jak często planować wizytę u higienistki?
Dla większości osób, które dbają o codzienną higienę jamy ustnej i nie mają szczególnych problemów, zaleca się przeprowadzanie profesjonalnej higienizacji co 6-12 miesięcy. Taka częstotliwość pozwala na regularne usuwanie kamienia i osadów, zanim zdążą one wyrządzić poważne szkody. To optymalny interwał, który zapewnia dobrą profilaktykę i utrzymuje zęby w czystości.
Palenie papierosów, picie kawy: kto powinien usuwać kamień częściej?
Są jednak grupy osób, które powinny odwiedzać higienistkę częściej. Jeśli palą Państwo papierosy, piją dużo kawy, herbaty czy czerwonego wina, lub mają tendencję do szybkiego odkładania się kamienia, zalecam wizyty nawet co 3-4 miesiące. Te nawyki znacząco przyspieszają powstawanie osadów i kamienia, a częstsze zabiegi pozwolą na bieżąco kontrolować sytuację i zapobiegać poważniejszym problemom.
Jak prawidłowa higiena w domu może zmniejszyć częstotliwość i koszty profesjonalnych zabiegów?
Nie mogę tego wystarczająco podkreślić: prawidłowa higiena jamy ustnej w domu to klucz do zmniejszenia potrzeby częstych i kosztownych profesjonalnych zabiegów. Regularne i dokładne szczotkowanie zębów (minimum dwa razy dziennie, przez dwie minuty, z użyciem odpowiedniej techniki), codzienne nitkowanie oraz stosowanie płynów do płukania jamy ustnej znacząco redukują ilość płytki nazębnej i spowalniają odkładanie się kamienia. Im lepiej dbamy o zęby w domu, tym rzadziej będziemy musieli korzystać z profesjonalnych usług, co przekłada się na realne oszczędności.
Zalecenia po zabiegu usuwania kamienia: jak dbać o zęby?
Po profesjonalnej higienizacji zęby są czyste i gładkie, ale również nieco bardziej wrażliwe. Aby utrzymać ten efekt jak najdłużej i zminimalizować ewentualny dyskomfort, warto przestrzegać kilku prostych zaleceń. To pozwoli cieszyć się zdrowym uśmiechem i zmaksymalizować efekty wizyty.
Przejściowa nadwrażliwość zębów: jak sobie z nią radzić?
Po usunięciu kamienia, zwłaszcza jeśli był go dużo, zęby mogą stać się przejściowo bardziej wrażliwe na zmiany temperatury (zimne/ciepłe napoje i pokarmy) oraz na dotyk. Jest to normalna reakcja, ponieważ odsłonięte zostają powierzchnie, które wcześniej były pokryte kamieniem. Aby sobie z tym poradzić, zalecam stosowanie past do zębów przeznaczonych dla zębów wrażliwych, które zawierają składniki uszczelniające kanaliki zębinowe. Warto również unikać bardzo gorących lub bardzo zimnych potraw i napojów przez kilka dni po zabiegu. Zazwyczaj nadwrażliwość ustępuje samoistnie w ciągu kilku dni.
"Biała dieta": dlaczego warto jej przestrzegać przez pierwsze 24 godziny?
Jeśli zabieg obejmował piaskowanie, a zwłaszcza polerowanie, powierzchnia zębów jest wyjątkowo chłonna. Aby zapobiec szybkiemu ponownemu przebarwieniu, przez pierwsze 24 godziny po zabiegu zaleca się przestrzeganie tzw. "białej diety". Oznacza to unikanie produktów, które mogłyby zabarwić zęby. Należą do nich kawa, herbata, czerwone wino, soki owocowe, ciemne sosy, buraki, jagody, czekolada, a także palenie papierosów. Stosowanie się do tej zasady znacząco przedłuży efekt gładkich i jasnych zębów.
Przeczytaj również: Ropa z zęba? Co pomoże i dlaczego musisz iść do dentysty!
Jak utrzymać efekt gładkich i czystych zębów na dłużej?
Aby efekt profesjonalnej higienizacji utrzymał się jak najdłużej, kluczowa jest konsekwencja w codziennej pielęgnacji. Oto moje najważniejsze wskazówki:
- Regularne i dokładne szczotkowanie: Używaj szczoteczki o miękkim lub średnim włosiu i szczotkuj zęby minimum dwa razy dziennie przez dwie minuty. Rozważ użycie szczoteczki elektrycznej lub sonicznej, które są często skuteczniejsze.
- Codzienne nitkowanie: Nitkowanie lub używanie irygatora jest niezbędne do usuwania resztek jedzenia i płytki bakteryjnej z przestrzeni międzyzębowych, gdzie szczoteczka nie dociera.
- Płukanki do jamy ustnej: Stosuj płyny do płukania jamy ustnej z fluorem, aby dodatkowo wzmocnić szkliwo i odświeżyć oddech.
- Ograniczenie używek: Zmniejszenie spożycia kawy, herbaty i unikanie palenia papierosów znacznie spowolni powstawanie nowych przebarwień i osadów.
- Regularne wizyty kontrolne: Pamiętaj o wizytach u stomatologa i higienistki zgodnie z zaleceniami, aby na bieżąco monitorować stan jamy ustnej i zapobiegać problemom.
