to problem, z którym wielu z nas spotyka się od czasu do czasu. Z mojego doświadczenia wiem, że często bywa on bagatelizowany, a przecież jest to sygnał wysyłany przez nasz organizm, że coś jest nie tak. Ten artykuł to kompleksowy przewodnik, który pomoże Ci zrozumieć przyczyny, rozpoznać objawy, poznać skuteczne domowe sposoby na złagodzenie dolegliwości, a przede wszystkim dowiedzieć się, kiedy bezwzględnie należy udać się do stomatologa. Zapewniam, że po jego przeczytaniu będziesz miał pełną wiedzę i praktyczne wskazówki, które pozwolą Ci podjąć odpowiednie kroki i zadbać o zdrowie swoich dziąseł.
Dlaczego dziąsła puchną? To sygnał, który wymaga uwagi i zrozumienia przyczyn.
- Niewłaściwa higiena jamy ustnej jest najczęstszą przyczyną puchnięcia dziąseł.
- Opuchlizna może wskazywać na zapalenie dziąseł, paradontozę, a nawet ropień.
- Zmiany hormonalne, niedobory witamin i choroby ogólnoustrojowe również mogą być ukrytymi przyczynami.
- Domowe płukanki ziołowe czy roztwór soli mogą przynieść ulgę, ale nie zastąpią wizyty u specjalisty.
- Koniecznie skonsultuj się z dentystą, jeśli opuchlizna utrzymuje się, towarzyszy jej silny ból, gorączka lub ropa.
- Kluczem do zdrowych dziąseł jest prawidłowa higiena, regularne wizyty u dentysty i profesjonalna higienizacja.
Poznaj swojego wroga: czym jest zapalenie dziąseł i dlaczego nie wolno go ignorować?
Zapalenie dziąseł, czyli gingivitis, to najczęstsza choroba dziąseł, z którą spotykam się w mojej praktyce. Wynika ono przede wszystkim z nagromadzenia się płytki bakteryjnej i kamienia nazębnego na powierzchni zębów i wzdłuż linii dziąseł. Bakterie te produkują toksyny, które podrażniają tkanki, prowadząc do stanu zapalnego. Niestety, zbyt często pacjenci ignorują pierwsze objawy, takie jak krwawienie podczas szczotkowania. To duży błąd! Nieleczone zapalenie dziąseł może bowiem prowadzić do znacznie poważniejszych schorzeń przyzębia, w tym do paradontozy, która grozi nawet utratą zębów. Dlatego tak ważne jest, aby nie bagatelizować żadnych sygnałów alarmowych.
Od różu do czerwieni: jak wyglądają zdrowe, a jak chore dziąsła?
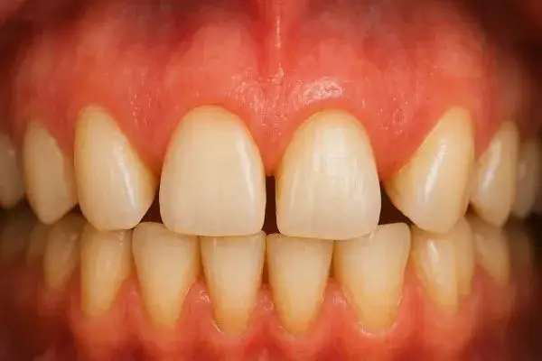
Zdrowe dziąsła są bladoróżowe, jędrne i ściśle przylegają do zębów, tworząc gładką linię. Nie krwawią podczas szczotkowania ani nitkowania, a ich dotykanie nie wywołuje bólu ani dyskomfortu. Są to tkanki, które skutecznie chronią korzenie zębów i wspierają ich stabilność. Kiedy widzę takie dziąsła u pacjenta, wiem, że higiena jest na wysokim poziomie.
Niestety, chore dziąsła prezentują zupełnie inny obraz. Zmieniają kolor na intensywnie czerwony lub siny, stają się opuchnięte i tkliwe. Krwawienie podczas codziennych zabiegów higienicznych, a nawet samoistne, jest bardzo częstym objawem. Pacjenci często skarżą się na ból i nadwrażliwość, a także na nieprzyjemny zapach z ust, czyli halitozę. W bardziej zaawansowanych przypadkach dochodzi do recesji dziąseł, czyli ich cofania się, co prowadzi do odsłaniania szyjek zębowych, a nawet do rozchwiania zębów. Czasem pojawia się też ropa. Wszystkie te objawy to jasny sygnał, że potrzebna jest interwencja.
- Zmiana koloru: Z bladoróżowego na intensywnie czerwony lub siny.
- Opuchlizna: Dziąsła stają się obrzmiałe, często błyszczące.
- Krwawienie: Podczas szczotkowania, nitkowania, a nawet samoistne.
- Ból i nadwrażliwość: Dziąsła są tkliwe przy dotyku, ból może pojawiać się podczas jedzenia.
- Recesja dziąseł: Dziąsła cofają się, odsłaniając szyjki zębowe.
- Nieprzyjemny zapach z ust (halitoza): Trudny do usunięcia, mimo prawidłowej higieny.
- Ropa: Widoczna przy ucisku na dziąsło, świadcząca o infekcji.
- Rozchwianie zębów: Wskazuje na zaawansowaną chorobę przyzębia i osłabienie struktur utrzymujących ząb.

Główne powody puchnięcia dziąseł
Niewłaściwa higiena: cichy sprawca większości problemów
Z mojego doświadczenia wynika, że w zdecydowanej większości przypadków puchnięcie dziąseł ma swoje źródło w niewłaściwej higienie jamy ustnej. Kiedy nie szczotkujemy zębów regularnie i dokładnie, a także zaniedbujemy nitkowanie, na powierzchni zębów i w przestrzeniach międzyzębowych gromadzi się płytka bakteryjna. Z czasem, pod wpływem minerałów zawartych w ślinie, płytka ta twardnieje, tworząc kamień nazębny. Zarówno płytka, jak i kamień nazębny są siedliskiem bakterii, które wydzielają toksyny. Te toksyny podrażniają dziąsła, prowadząc do stanu zapalnego, który objawia się właśnie opuchlizną, zaczerwienieniem i krwawieniem. To jest ten cichy sprawca, który często działa niezauważony, aż do momentu, gdy problem staje się bardziej dokuczliwy.
Zapalenie dziąseł i paradontoza: kiedy problem staje się poważny?
Warto zrozumieć, że zapalenie dziąseł (gingivitis) i paradontoza to dwa różne etapy tej samej choroby. Zapalenie dziąseł jest stanem odwracalnym przy odpowiedniej higienie i profesjonalnym czyszczeniu dziąsła mogą wrócić do zdrowia. Jeśli jednak ignorujemy objawy i nie podejmujemy leczenia, zapalenie może przekształcić się w paradontozę, czyli zapalenie przyzębia. Paradontoza jest już znacznie poważniejszą chorobą, która atakuje nie tylko dziąsła, ale także kość i więzadła utrzymujące zęby w zębodołach. To oznacza, że problem staje się systemowy i może prowadzić do nieodwracalnych uszkodzeń.
Paradontoza, niestety, jest w Polsce dość powszechna. Według danych Polskiego Towarzystwa Periodontologicznego, problem zaawansowanego zapalenia przyzębia dotyczy ponad 16% Polaków w wieku 35-44 lata. To pokazuje skalę problemu i podkreśla, jak ważne jest wczesne rozpoznanie i leczenie. W zaawansowanych stadiach paradontozy dochodzi do utraty kości wokół zębów, co prowadzi do ich rozchwiania, a w konsekwencji do utraty. Dlatego tak bardzo podkreślam, że nie wolno lekceważyć nawet drobnego krwawienia czy opuchlizny dziąseł.
Opuchlizna przy jednym zębie: co może oznaczać ropień lub problem z ósemką?
Jeśli opuchlizna dziąsła koncentruje się wokół jednego zęba, często jest to sygnał bardziej zlokalizowanego problemu. Jedną z najczęstszych przyczyn jest ropień zęba lub dziąsła. Jest to ostra infekcja bakteryjna, która prowadzi do nagromadzenia ropy w tkankach. Objawia się zazwyczaj silnym, pulsującym bólem, który może promieniować, a także wyraźną opuchlizną, niekiedy z towarzyszącą gorączką. W takich przypadkach konieczna jest pilna interwencja stomatologiczna, aby usunąć źródło infekcji i zapobiec jej rozprzestrzenianiu. Inną częstą przyczyną miejscowej opuchlizny są problemy związane z wyrzynaniem się zębów, zwłaszcza zębów mądrości, czyli ósemek. Kiedy ósemka próbuje przebić się przez dziąsło, może to prowadzić do miejscowego obrzęku, bólu i zaczerwienienia, a także do stanu zapalnego nazywanego zapaleniem okołokoronowym.
Urazy mechaniczne: czy zbyt mocno szczotkujesz zęby lub nosisz aparat?
Czasami przyczyna opuchlizny jest prozaiczna i wynika z mechanicznego podrażnienia. W mojej praktyce często spotykam się z takimi sytuacjami:
- Zbyt mocne szczotkowanie zębów: Agresywne ruchy szczoteczką, zwłaszcza twardą, mogą uszkadzać delikatne tkanki dziąseł, prowadząc do ich podrażnienia i opuchlizny.
- Używanie twardej szczoteczki: Twarde włosie szczoteczki, zamiast skutecznie czyścić, często rani dziąsła. Zawsze rekomenduję miękkie lub średnie szczoteczki.
- Podrażnienie przez niedopasowaną protezę lub aparat ortodontyczny: Źle dopasowane uzupełnienia protetyczne lub elementy aparatu ortodontycznego mogą uciskać i ocierać dziąsła, wywołując stan zapalny.
- Utknięcie resztek pokarmu: Fragmenty jedzenia, które utknęły w przestrzeniach międzyzębowych lub pod dziąsłem, mogą działać jak ciało obce, prowadząc do miejscowego podrażnienia i opuchlizny.
Ukryte przyczyny: kiedy opuchnięte dziąsła to objaw czegoś poważniejszego?
Hormonalna burza: dlaczego dziąsła puchną w ciąży, w okresie dojrzewania i menopauzy?
To, co często zaskakuje moich pacjentów, to fakt, że dziąsła są niezwykle wrażliwe na zmiany hormonalne w organizmie. U kobiet jest to szczególnie widoczne. W okresie ciąży wiele pań doświadcza tzw. ciążowego zapalenia dziąseł. Wzrost poziomu progesteronu i estrogenów zwiększa przepływ krwi do dziąseł, czyniąc je bardziej wrażliwymi, skłonnymi do obrzęku i krwawienia. Podobne zjawiska mogą występować w okresie dojrzewania, kiedy organizm przechodzi przez intensywne zmiany hormonalne, a także w czasie menopauzy. Nawet stosowanie antykoncepcji hormonalnej może wpływać na kondycję dziąseł, zwiększając ich skłonność do stanów zapalnych. Zawsze podkreślam, że w tych okresach szczególnie ważna jest dbałość o perfekcyjną higienę jamy ustnej.
Dieta pod lupą: jak niedobory witamin (zwłaszcza C i K) wpływają na dziąsła?
Nasza dieta ma ogromny wpływ na zdrowie całego organizmu, w tym na dziąsła. Dwa kluczowe składniki, które odgrywają tu rolę, to witaminy C i K. Witamina C jest niezbędna do produkcji kolagenu, czyli białka budującego tkanki łączne, w tym te w dziąsłach. Jej niedobór może prowadzić do osłabienia dziąseł, sprawiając, że stają się one bardziej podatne na krwawienie i stany zapalne. W skrajnych przypadkach może rozwinąć się szkorbut. Z kolei witamina K odgrywa kluczową rolę w procesie krzepnięcia krwi. Jej niedobór może objawiać się nadmiernym krwawieniem dziąseł, co w połączeniu z innymi czynnikami może prowadzić do ich opuchlizny. Zawsze doradzam moim pacjentom, aby zwracali uwagę na zbilansowaną dietę, bogatą w świeże warzywa i owoce.
Choroby ogólnoustrojowe: cukrzyca, białaczka i inne schorzenia, które widać w jamie ustnej
Dziąsła bywają lustrem naszego ogólnego stanu zdrowia. Czasami opuchlizna dziąseł jest jednym z pierwszych objawów poważniejszych chorób ogólnoustrojowych. Oto kilka przykładów, z którymi spotykam się w mojej praktyce:
- Niekontrolowana cukrzyca: Osoby z cukrzycą są znacznie bardziej podatne na infekcje, w tym na choroby dziąseł. Wysoki poziom cukru we krwi sprzyja rozwojowi bakterii i utrudnia gojenie, co może prowadzić do przewlekłych stanów zapalnych i puchnięcia dziąseł.
- Białaczka: W niektórych typach białaczki, szczególnie w ostrej białaczce szpikowej, może dochodzić do przerostu i nacieków dziąseł, co objawia się ich znacznym obrzękiem i krwawieniem.
- Choroby autoimmunologiczne: Niektóre schorzenia, takie jak choroba Leśniowskiego-Crohna czy toczeń rumieniowaty układowy, mogą manifestować się zmianami w jamie ustnej, w tym stanami zapalnymi i opuchlizną dziąseł.
- Zakażenie wirusem HIV: U pacjentów z HIV osłabiony układ odpornościowy sprawia, że są oni bardziej podatni na poważne infekcje dziąseł, które mogą prowadzić do ich obrzęku i owrzodzeń.
W takich przypadkach leczenie stomatologiczne musi być ściśle skoordynowane z leczeniem choroby podstawowej.
Skutki uboczne leków i alergie: czy Twoja apteczka lub pasta do zębów może być winowajcą?
Niekiedy winowajcą puchnięcia dziąseł okazują się leki, które przyjmujemy z innych powodów. Istnieje grupa farmaceutyków, które jako efekt uboczny mogą powodować przerost dziąseł. Należą do nich na przykład niektóre leki na padaczkę (np. fenytoina), na nadciśnienie (blokery kanału wapniowego) czy leki immunosupresyjne (np. cyklosporyna). W takich sytuacjach dziąsła stają się powiększone, obrzmiałe i trudniejsze do dokładnego oczyszczenia, co sprzyja stanom zapalnym. Poza tym, niekiedy obserwuję reakcje alergiczne. Niektóre osoby mogą być uczulone na składniki past do zębów, płynów do płukania ust, a nawet na barwniki czy aromaty zawarte w pokarmach. Alergia taka może objawiać się miejscową opuchlizną, zaczerwienieniem i swędzeniem dziąseł. Warto wtedy spróbować zmienić produkty do higieny jamy ustnej na te hipoalergiczne.

Szybka pomoc w domu: sprawdzone sposoby na złagodzenie opuchlizny dziąseł
Ziołowa apteczka: jak stosować płukanki z szałwii, rumianku i kory dębu?
Kiedy dziąsła zaczynają puchnąć, zanim dotrzesz do dentysty, możesz spróbować ulżyć sobie domowymi sposobami. Ziołowe płukanki to sprawdzone metody, które mogą przynieść tymczasową ulgę. Pamiętaj jednak, że są to tylko metody doraźne i nie zastąpią profesjonalnego leczenia:
- Szałwia: Ma właściwości ściągające i antyseptyczne. Przygotuj napar, zalewając łyżeczkę suszonych liści szklanką wrzątku. Parz pod przykryciem około 15 minut, ostudź i płucz jamę ustną kilka razy dziennie.
- Rumianek: Znany ze swoich właściwości przeciwzapalnych i łagodzących. Napar przygotowuje się podobnie jak z szałwii. Jest delikatny i może być stosowany nawet przy bardzo wrażliwych dziąsłach.
- Kora dębu: Działa silnie ściągająco i antybakteryjnie, co pomaga zmniejszyć obrzęk i krwawienie. Łyżkę kory dębu gotuj w szklance wody przez około 5-10 minut, ostudź i przecedź. Stosuj do płukania.
- Tymianek: Posiada właściwości antyseptyczne i przeciwzapalne. Napar z tymianku może pomóc w walce z bakteriami odpowiedzialnymi za stan zapalny dziąseł.
Sól, woda utleniona i zimne okłady: proste, ale skuteczne metody łagodzenia bólu
Oprócz ziół, w domowej apteczce znajdziesz inne proste, ale często skuteczne środki na opuchnięte dziąsła:
- Roztwór soli kuchennej: Ciepła woda z solą to klasyk. Pół łyżeczki soli rozpuść w szklance ciepłej wody i płucz jamę ustną przez około 30 sekund, kilka razy dziennie. Sól działa antyseptycznie i pomaga zmniejszyć obrzęk.
- Woda utleniona: Roztwór 3% wody utlenionej rozcieńczony z wodą (w proporcji 1:1) może być stosowany do płukania jamy ustnej. Ma właściwości odkażające, ale należy używać go z umiarem i nie połykać.
- Zimne okłady: Przykładanie zimnego kompresu (np. lodu zawiniętego w ściereczkę) do policzka po stronie opuchlizny może pomóc zmniejszyć ból i obrzęk. Stosuj przez 10-15 minut, z przerwami.
- Olej goździkowy: Znany jest ze swoich właściwości antyseptycznych i przeciwbólowych. Delikatne wmasowanie niewielkiej ilości oleju goździkowego w opuchnięte dziąsło może przynieść ulgę.
Czego unikać, gdy dziąsła są opuchnięte? Wskazówki dietetyczne
Kiedy dziąsła są opuchnięte i podrażnione, warto zwrócić uwagę na to, co jemy i pijemy, aby nie pogarszać sytuacji. Oto kilka moich wskazówek:
- Unikaj twardych, ostrych i gorących pokarmów: Mogą one dodatkowo podrażniać zmienione zapalnie dziąsła i nasilać ból. Wybieraj miękkie, letnie potrawy.
- Ogranicz spożycie cukru i przetworzonej żywności: Cukier jest pożywką dla bakterii, które przyczyniają się do stanów zapalnych.
- Zrezygnuj z alkoholu: Alkohol wysusza błony śluzowe i może nasilać podrażnienia.
- Unikaj palenia tytoniu: Palenie jest jednym z największych wrogów zdrowia dziąseł. Osłabia odporność, zaburza krążenie i utrudnia gojenie.
Czerwona flaga: kiedy opuchnięte dziąsła wymagają natychmiastowej wizyty u dentysty?
Te objawy wymagają natychmiastowej reakcji: silny ból, gorączka i ropa
Jako stomatolog zawsze podkreślam, że istnieją sytuacje, w których domowe sposoby to za mało, a zwlekanie z wizytą u specjalisty może mieć poważne konsekwencje. Poniższe objawy to absolutna „czerwona flaga”, która powinna skłonić Cię do natychmiastowego kontaktu z dentystą:
- Opuchlizna utrzymująca się dłużej niż tydzień, pomimo stosowania domowych metod.
- Silny, pulsujący ból, który nie ustępuje po lekach przeciwbólowych.
- Pojawienie się gorączki lub powiększenia węzłów chłonnych (szyjnych, podżuchwowych), co może wskazywać na rozprzestrzenianie się infekcji.
- Widoczna ropa, wyciekająca z dziąsła lub z okolicy zęba.
- Rozchwianie zębów, nawet jeśli opuchlizna nie jest bardzo duża.
- Opuchlizna utrudniająca przełykanie lub oddychanie to sygnał, że infekcja może zagrażać drogom oddechowym.
W tych przypadkach nie ma na co czekać. Liczy się każda godzina.
Opuchlizna nie mija? Zobacz, dlaczego zwlekanie z wizytą jest ryzykowne
Wiem, że wielu pacjentów obawia się wizyty u dentysty, ale w przypadku utrzymującej się opuchlizny dziąseł zwlekanie jest niezwykle ryzykowne. Nieleczony stan zapalny może prowadzić do progresji choroby przyzębia, a w konsekwencji do nieodwracalnej utraty kości i zębów. Co więcej, infekcja w jamie ustnej nie zawsze pozostaje zlokalizowana bakterie mogą przedostać się do krwiobiegu i rozprzestrzenić na inne części organizmu, prowadząc do poważnych powikłań, takich jak zapalenie wsierdzia czy powikłania u osób z chorobami serca. Dlatego, jeśli opuchlizna nie mija, nie ryzykuj umów się na wizytę.
Jak wygląda wizyta u specjalisty i jakie leczenie może zaproponować?
Podczas wizyty u dentysty, w przypadku opuchniętych dziąseł, możesz spodziewać się dokładnej diagnostyki. Ja zawsze zaczynam od szczegółowego wywiadu i badania klinicznego, często uzupełnionego o zdjęcia rentgenowskie. Celem jest ustalenie dokładnej przyczyny problemu. Następnie, w zależności od diagnozy, zaproponuję odpowiednie leczenie. Może to być profesjonalna higienizacja jamy ustnej (skaling i piaskowanie), aby usunąć kamień i płytkę bakteryjną, leczenie przyczynowe, takie jak leczenie kanałowe zęba, jeśli przyczyną jest infekcja miazgi, czy też antybiotykoterapia w przypadku ropnia. W bardziej zaawansowanych przypadkach paradontozy konieczne mogą być specjalistyczne zabiegi periodontologiczne, mające na celu regenerację tkanek przyzębia.
Lepiej zapobiegać niż leczyć: jak dbać o zdrowe dziąsła na co dzień?
Prawidłowa technika szczotkowania i nitkowania fundament zdrowej jamy ustnej
Podstawą zdrowych dziąseł jest, i zawsze będzie, prawidłowa i regularna higiena jamy ustnej. To fundament, bez którego wszelkie inne działania będą miały ograniczoną skuteczność. Zawsze radzę moim pacjentom, aby używali miękkiej lub średniej szczoteczki do zębów. Szczotkowanie powinno odbywać się co najmniej dwa razy dziennie, przez minimum dwie minuty. Kluczowa jest technika wykonuj delikatne ruchy wymiatające od dziąsła do korony zęba, nie szoruj poziomo i nie naciskaj zbyt mocno. Pamiętaj, aby dotrzeć do wszystkich powierzchni zębów, także tych od strony języka i podniebienia.
Równie ważne, a często niestety zaniedbywane, jest codzienne nitkowanie zębów. Szczoteczka nie jest w stanie usunąć płytki bakteryjnej i resztek pokarmu z przestrzeni międzyzębowych. To właśnie tam najczęściej zaczynają się problemy z dziąsłami. Nitkuj zęby delikatnie, wprowadzając nić między zęby i przesuwając ją wzdłuż powierzchni każdego zęba, aż pod linię dziąsła. Pamiętaj, aby używać czystego odcinka nici dla każdej przestrzeni. Regularne nitkowanie to najlepsza inwestycja w zdrowie Twoich dziąseł.
Rola profesjonalnej higienizacji: dlaczego skaling i piaskowanie są tak ważne?
Nawet przy najlepszej domowej higienie, z czasem na zębach może gromadzić się kamień nazębny, którego nie da się usunąć samodzielnie. Dlatego tak ważna jest regularna profesjonalna higienizacja jamy ustnej, wykonywana przez stomatologa lub higienistkę stomatologiczną. Zabiegi takie jak skaling (usuwanie kamienia nazębnego ultradźwiękami) i piaskowanie (usuwanie osadów i przebarwień za pomocą strumienia piasku pod ciśnieniem) są kluczowe w profilaktyce chorób przyzębia. Zalecam wykonywanie ich co najmniej raz na sześć miesięcy, a u osób z większą skłonnością do odkładania się kamienia lub z problemami dziąseł nawet częściej. To pozwala na utrzymanie dziąseł w doskonałej kondycji i zapobiega rozwojowi poważniejszych schorzeń.
Przeczytaj również: Jak usunąć klej do protez z dziąseł? Sprawdzone metody i porady
Dieta i styl życia dla mocnych dziąseł: co włączyć do jadłospisu, a czego unikać?
Oprócz higieny, na zdrowie dziąseł wpływa również nasza dieta i ogólny styl życia. Oto moje wskazówki:
- Dieta bogata w witaminy C i K: Włącz do jadłospisu dużo świeżych warzyw i owoców, takich jak cytrusy, papryka, brokuły (witamina C) oraz zielone warzywa liściaste (witamina K).
- Unikaj cukru i przetworzonej żywności: Zmniejsz spożycie słodyczy, napojów gazowanych i wysoko przetworzonych produktów, które sprzyjają rozwojowi bakterii.
- Pij dużo wody: Woda pomaga wypłukiwać resztki jedzenia i bakterie, a także utrzymuje odpowiednie nawilżenie jamy ustnej.
- Rzuć palenie: Palenie tytoniu to jeden z głównych czynników ryzyka chorób przyzębia. Rzucenie palenia znacząco poprawi kondycję Twoich dziąseł.
- Redukuj stres: Stres osłabia układ odpornościowy, co może zwiększać podatność na stany zapalne, w tym te w jamie ustnej.
